歯根破折

よくある歯のトラブル、歯根破折です。

歯の神経を抜いた後は物理的に弱くなるために起こります。

歯根破折(しこんはせつ)は、歯の根の部分にひびが入ったり、割れてしまったりする状態を指します。歯の神経を抜いた後に起こりやすく、見た目では気づきにくいため、進行してしまうことが多いのが特徴です。

症状

歯根破折の症状は、初期では自覚症状が少ないこともありますが、進行すると以下のような症状が現れることがあります。

  • 噛むと痛みや違和感がある: 特に硬いものを噛んだときに、ピリッとした鋭い痛みを感じることがあります。常に痛いわけではなく、噛む瞬間限定の痛みが多いです。
  • 歯ぐきが腫れる・膿が出る: 割れた部分から細菌が侵入し、歯ぐきに炎症が起き、腫れたり膿が出たりすることがあります。歯ぐきに「できもの(フィステル)」ができることもあります。
  • 歯が浮いたような感じがする・グラグラする: 歯根が破折することで歯が不安定になり、浮いたような感覚やグラつきを感じることがあります。
  • 被せ物や差し歯が取れやすい: 歯の土台が不安定になることで、被せ物が緩んだり外れたりすることがあります。
  • 知覚過敏のような症状: 神経が残っている場合、冷たいものや温かいものがしみるような症状が出ることがあります。

診断

歯根破折の診断は、目に見えにくい部分に発生するため、難しい場合があります。歯科医院では、以下のような方法で診断を行います。

  • 視診・触診: 歯ぐきの腫れや膿の有無などを確認します。
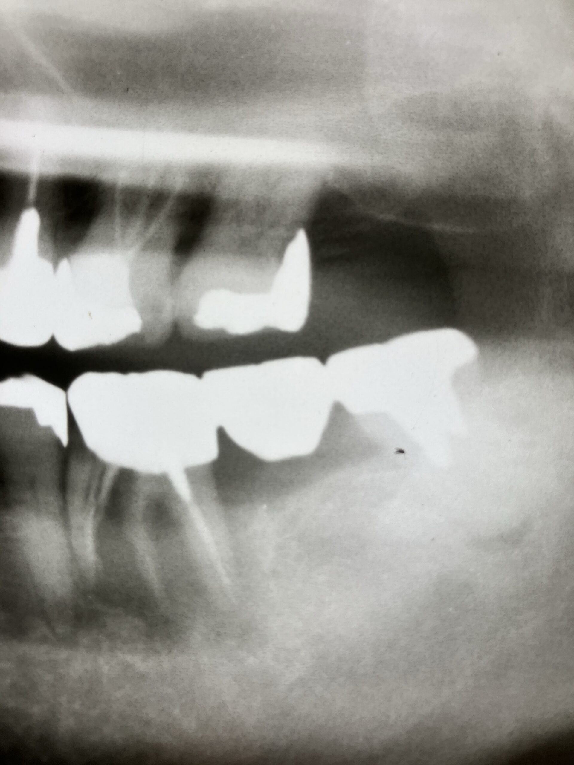
  • レントゲン検査(X線検査): 歯根のひび割れや骨の状態を確認します。ただし、初期の細いひび割れはレントゲンに映らないこともあります。
  • CT検査(コーンビームCT): 3Dで歯の状態を詳しく確認でき、レントゲンでは見つけにくいひび割れも発見しやすくなります。
  • 歯周ポケット検査: 歯ぐきの周りの歯周ポケットの深さを測り、特定の場所に深いポケットがある場合、破折の可能性があります。
  • マイクロスコープによる検査: 高倍率の顕微鏡で患部を拡大して観察し、肉眼では見えない細かなひび割れを確認します。

治療法

歯根破折の治療は、破折の程度や状態によって異なります。以前は抜歯となるケースが多かったですが、最近では歯を保存するための治療法も増えています。

  • 口腔内接着法: ひび割れ程度の破折や、早期に発見された場合に行われます。歯を抜かずに、口腔内で破折部分を特殊な接着剤で接着し、修復します。
  • 口腔外接着再植法: 破折した歯を一度抜歯し、口腔外で破折部分を接着剤で修復してから、再び元の位置に戻す(再植する)方法です。抜歯して処置するため、より確実に炎症部分の除去や接着が行える利点があります。
  • 抜歯: 破折が進行しており、保存が難しいと判断された場合や、感染が広範囲に及んでいる場合には、抜歯が選択されます。抜歯後は、ブリッジ、入れ歯、インプラントなどの治療を検討することになります。

よかったらシェアしてね!
  • URLをコピーしました!
  • URLをコピーしました!

この記事を書いた人

目次